十几年前,限于技术设备,困于自身条件,让彭阿姨不得不放弃种植牙的念头。
十几年后,彭阿姨来到东莞口腔医院种植科,我们的种植团队圆了她多年的种牙梦。

初次接诊
十几年的生活不便,令彭阿姨再次决心种牙
去年年底,65岁的彭阿姨和她的家人慕名来到了东莞口腔医院,当时的牙齿情况是全口牙缺失。她告诉接诊医生张医生,十几年前在广州看牙,那时种植牙技术条件不成熟加上本身牙槽骨条件不好,医生说只能做活动牙,迫于没牙的无奈,也只好妥协,活动牙一戴就戴了十几年。
活动假牙真的给彭阿姨的生活造成了很大麻烦,活动假牙不仅稳定性和咀嚼功能不佳,而且自洁效能差,每次用餐后都要取下来清洁。长期使用下来还会加快牙槽骨吸收,每间隔一段时间就需要到医院对活动假牙进行调整,所以彭阿姨和家人商量后,还是决心种牙。
成功种牙
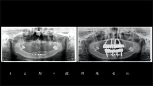
医者技术与医院条件实现彭阿姨的种牙愿望


来院完成拍摄颌骨CT等常规检查操作后,张医生对其口腔情况做了初步评估后与王立超院长进行方案讨论。阿姨的牙槽骨情况确实不容乐观,给种植手术带来了极大的障碍,且必需过硬的医者技术来支撑完成。王院长经过仔细研究后,认为可以通过数字化技术模拟种植设计,并应用倾斜种植的方式避免复杂的植骨手术。
另一方面,我们在进行取模的过程中,发现彭阿姨很容易恶心干呕,采用传统取模的方式非常困难,所以决定利用数字化口扫取研究模,3D打印牙模。在克服种种阻碍因素后,由王立超带领的种植团队终制定出彭阿姨的种植方案——上下颌都采用All-on-4种植技术进行全口种植修复。在进行充分的沟通后,彭阿姨及其家人也同意了该方案。

这次的种植手术由王立超院长主导操刀,手术开始前,阿姨心情忐忑不安,王院长告诉她手术是无痛的而且我们已经做好充分的手术准备,不用紧张。终手术顺利完成,种植体成功植入牙槽骨内。All-on-4种植技术是一项精密的口腔种植技术,对医疗设备及医生技术的要求是极其严苛的。手术就是对术者的要求,因为有了王立超院长的精湛技术、良好的手术环境以及患者的全程配合,我们的种植团队才有十足的把握和信心,手术才得以顺利完成。
顺利戴牙
“齿”刻,开启美好生活

经过一段时间的愈合修复,终于迎来了戴牙的日子,彭阿姨告诉我们她既兴奋又激动,昨晚一整宿都没睡着,因为马上就有一口新牙齿了。彭阿姨戴上稳固舒适的新牙齿后,开心的笑了,她说:“终于可以扔掉佩戴多年的活动牙了,它实在是给我的生活带来了太多不便,有了新牙我以后就可以大口吃肉,吃很多以前想吃却不能吃的美食”。
戴牙之后彭阿姨满脸的笑容和连声的道谢让我们种植团队感到格外骄傲和满足。佩戴十几年的活动牙不仅会给患者的生活带来不便,更会影响到患者的心理,会造成负面情绪的累积。牙医的职责就是为患者解决口腔难题,让他们心情愉悦享受更高质量的生活。东莞口腔医院种植科为更好服务地缺牙患者,率先迈进数字化种植牙时代,拥有精湛的临床技能、良好的医德医风和创新的科研精神,今日彭阿姨成功的戴牙故事又为医患相互成就画上浓墨重彩的一笔。
相关阅读